Dentist in Lancaster, CA

Dentist Tab Boyle, DDS Serving Lancaster, CA

You don’t have to live in Hollywood to have a bright, winning smile. Dr Tab A Boyle in Lancaster, CA, offers a wide variety of services to help you maintain the whole family’s smiles.

It’s never too early to promote strong oral health habits. Maintaining good dental hygiene is essential for preventing decay, gum disease and other conditions that can affect the way that you talk, smile and chew. Establishing yourself as a patient at our Lancaster dentist office gives you the opportunity to receive high-end dental care no matter what condition your oral health is in.

At the office of Tab Boyle DDS In Lancaster, CA, we care about your smile as much as you do! When you visit our office, you can expect to receive the highest quality of dental care in a relaxed, welcoming environment. Since 1989 we have happily welcomed patients of all ages to our office, going above and beyond to ensure that you are comfortable in our office and that your treatments are helping you achieve the healthy, beautiful smile of your dreams.

General and Family Dentistry

We recommend that our patients visit our Dr Tab A Boyle in Lancaster office once every six months for routine cleanings. During these appointments, our team will examine your teeth, gums and jaw. We will perform a comprehensive cleaning, removing the tartar and plaque that lead to decay. If necessary, we can also conduct x-rays to identify, monitor and correct problem areas.

Regular exams also give you a chance to discuss any concerns that you may have with the dentist. Many oral health issues are correctable with at-home care and in-office treatments. We are here to help you make the best decisions for your health.

Our professionals are also equipped to handle dental emergencies. If you are experiencing a problem, don’t hesitate to contact us to receive top-notch care and peace of mind.

In addition to dental cleanings, routine exams and
emergency dentistry, we also offer the following services:

  • Advanced imaging techniques – Cone beam scanning and digital x-rays allow us to view your entire jaw, head and neck for exceptional assessment and treatment.
  • Non-surgical gum disease treatment – Our non-invasive care for periodontal disease involves bacteria-fighting approaches and deep cleanings that restore your gum health.
  • Sedation dentistry – We offer IV and nitrous oxide sedation to help you combat anxiety at your visits.


Cosmetic Dentistry

Are you embarrassed about the imperfections in your smile? Dental flaws can detract from your confidence. They can also impact the function of your teeth.

Our Lancaster team uses a wide range of state-of-the-art techniques to deliver a naturally beautiful smile. We tailor our treatments to each patient and can combine services such as teeth whitening, aligners and veneers to produce the appearance that you’ve been looking for.

You’re an ideal candidate for
cosmetic dentistry if your teeth are:

  • Crooked or mildly misaligned
  • Chipped, cracked or broken
  • Stained or discolored
  • Worn, misshapen or uneven


Implant and Restorative Dentistry

Your teeth deteriorate as you age. Injury and decay can also contribute to tooth loss. But you don’t have to live with less than perfect teeth. Implant and restorative dentistry permanently improves the look and function of your teeth. Many of our restoration procedures can be accomplished in a single visit, using advanced imaging techniques to design the repair and experienced practitioners to perform the treatment.

If you have one or several missing or severely damaged teeth, you may be an ideal candidate for one of the following services:



At Dr. Tab A. Boyle Cosmetic and Restorative Dentistry In Lancaster, we aim to provide the most conservative treatment options to optimize your oral health. It’s essential to preserve our patients’ comfort and ease while offering a wide range of services to deliver a natural, sparkling smile. Contact us for a consultation, and keep smiling.

Don't Just Take Our Word, Hear It From Our Patients

Thumbnail for Testimony of Dr.Tab
Thumbnail for Testimony of Dr.Tab
Hear From More Of Our Patients

Meet Dr. Tab Boyle

Dr. Tab A. Boyle is passionate about helping his patients. He has been that way from the time he decided to get involved in dentistry. Dr. Boyle moved to Lancaster when he was only 2 years old. His father, Dr. Victor Boyle, practiced general medicine. Dr. Boyle learned how to care for his patients from watching how his father took care of his own patients. As Dr. Boyle grew up, he started to know what he wanted to do with his life. He made the decision to go to college and become a dentist.
Learn More About Dr. Boyle

$79 New Patient Offer*

Receive An Initial Exam, Cleaning, & X-Rays

*In the absence of certain dental conditions/gum disease

Book Your First Visit Today!

Why Choose Us?

From routine preventive care to dental implants and CEREC same-day dentistry, Dr. Tab Boyle and our team in Lancaster are here to  help you! We also have team members who speak Spanish. 


We invite you to call or visit us today In Lancaster to
make your appointment with our friendly and experienced dentist and learn more about comprehensive dentistry in Lancaster, California, and surrounding areas, including Palmdale, Acton, Rosamond,  and Tehachapi, California!

Learn More About Us

Services of Interest at Our Office

View All Dental Services

Patients' Before and After

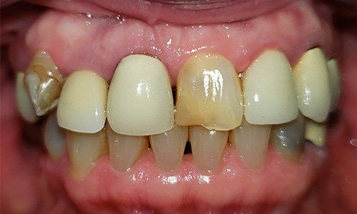
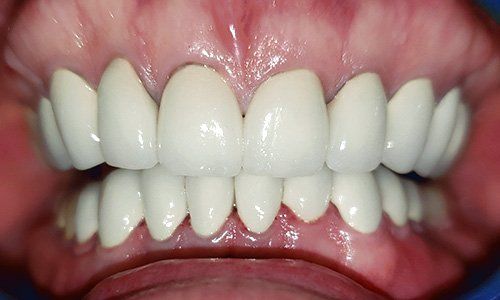
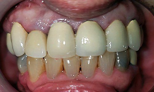
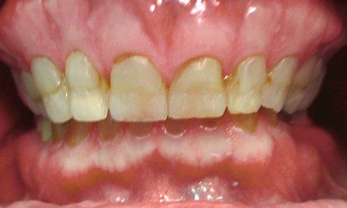
This patient had health complications that affected her teeth. She is now healthy and wanted to improve her smile. It only took two visits. 

This Patient neglected his appearance of his teeth for years, after being newly single, he wanted to change his smile. Placed All new crowns on the upper and lower. 

This patient came to our office missing her front teeth. She had her  teeth extracted and implants placed at another office. After moving to Antelope Valley, she wanted to fix her smile. Dr. Boyle placed a 4 unit implant bridge in two visits.

View More

$25 Same Day Emergency Visit*

Receive your emergency dental visit (includes full X-Rays)

*Offer Valid only for new patients

Take Advantage Of This Today!

Read What Patients Are Saying Online About Us

"For several years Dr. Boyle has been my dentist. They are all professional and friendly. Excellent staff and service. They take time with you and explain any procedure carefully. A very positive experience."
- Dan R.
★★★★★
"Dr. Boyle and his whole staff are very welcoming and professional! I’ve been a patient of Dr. Boyle’s for over 25 years and have been always satisfied with his care and expertise! I highly recommend this dentist and his staff!"
- Celeste G.
★★★★★
"I have been coming here for 14 years, and I recommend anyone seeking a dentist to come here. Dr. Boyle and his staff are the best! Everyone who works here are top notch!"
- Robin P.
★★★★★
Read More Patient Reviews

Dr. Tab A. Boyle Office Information

Phone:

Address:

Hours:

Mon - Thu
-
Fri - Sun
Closed

*The office is closed for lunch from 1:00 pm - 2:00 pm*

CONTACT US TODAY!
Share by: